“Meu pai testou positivo para COVID pela segunda vez. Da primeira ele quase morreu. Você tem o contato do melhor médico para isso, Dr Flavio Cadegiani?”. Essa foi a mensagem que recebi no domingo, 29 de maio, à noite, enquanto eu estava ouvindo uma roda de samba em um café na rua de cima de casa.
Quem me mandou a mensagem foi uma pessoa que me contatou pelo Twitter logo depois que escrevi o artigo “O dia que entendi o bom alemão“, publicado no Jornal France Soir, de Paris, em fevereiro deste ano. Foi um de meus textos sobre a pandemia que mais viralizou. Ele passou a me seguir nas redes sociais depois da leitura.
O modo que essa pessoa – que chamarei “Jota” para preservar a sua identidade – me contatou, foi inusitado. Ele, logo na primeira mensagem, me oferecia dinheiro. “Somos empresários e gostaríamos muito de contribuir, caso queira produzir esse filme. Sim, seu texto é o roteiro perfeito de um filme histórico”, afirmou.
Ele se apresentou, disse que ele e sua esposa lutam contra os pseudo consensos da pandemia. Agradeci por ter gostado do texto e respondi que um documentário sobre aquele artigo era, sim, possível de ser feito. “Me ajudou muito a entender o que se passa hoje”, afirmou.
Na sequência ele fez um comentário que explica bastante do momento atual sobre qualquer conversa abordando a pandemia. “Brigamos por vezes dentro da nossa própria família”. Curioso, procurei seu nome no Google para saber se a proposta poderia ser algo para ser levado com seriedade. É um empresário de sucesso. Já passaram mais de três meses da oferta e o assunto ficou para trás, adormecido. Às vezes, ao assistir alguns documentários, me pego pensando no assunto, em modos de contar a história, apenas.
Mas não mantive contato estreito, até receber mensagem dele, solicitando o telefone do Cadegiani, para que atendesse seu pai. “Consigo. Se não for ele, será alguém muito bom, igual em atendimento”, respondi. Não é a primeira vez que ajudo a aproximar pessoas que procuram tratamento da COVID com médicos que fazem tratamento precoce. Mas o pedido dele era absolutamente claro: queria que seu pai fosse atendido pelo Dr Cadegiani. “Não é problema de custo”, afirmou.
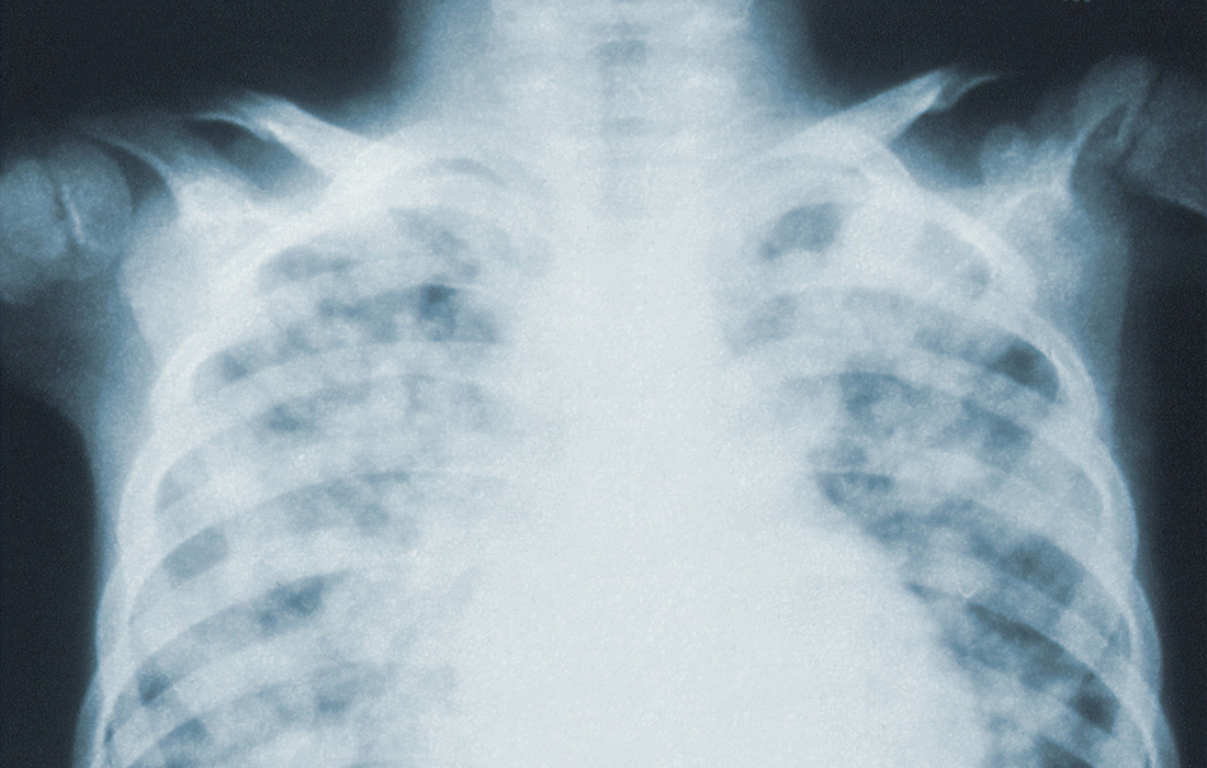
Jota contou a história de seu pai, motivo de sua preocupação. Na primeira vez que ele teve COVID, no ano passado, teve os pulmões muito comprometidos, ficou internado por um longo período e quase foi a óbito. “Eu fiquei 30 dias com ele dentro do hospital. Foi muita luta. Depois que complica é muito difícil”, lamentou.
“A cada semana o quadro pulmonar dele ia piorando, depois evoluiu para um quadro de embolia pulmonar. Chegou a ter mais de 90% do pulmão comprometido. Foi um pesadelo”, explicou. “Ele não conseguia ficar de pé sozinho, não conseguia tomar banho, não conseguia fazer suas necessidades fisiológicas, porque não tinha força”, complementou. “Nosso mundo parou por um mês”.
Já o Dr Cadegiani, o médico que Jota procurava para tratar a COVID de seu pai, é um velho conhecido da mídia nacional. “Acusado de crime contra a humanidade na CPI receitou dose inédita de proxalutamida a paciente com covid-19”, dizia a manchete do El País Brasil, em outubro de 2021.
“Flávio Cadegiani é o médico responsável por estudo com a mesma droga que pode ter levado à morte de 200 pessoas. Caso ocorreu em Brasília, na clínica particular do endocrinologista, onde ele fez tratamento com um remédio em fase de testes sem respaldo ético e científico necessário”, explica a notícia.
No portal da Globo, o maior grupo de comunicação do país, as manchetes foram outras. “Covid: Testes com proxalutamida no AM poderiam ser uma das mais graves violações da América Latina, dizem pesquisadores da Unesco”. Depois a Unesco voltou atrás, mas isso virou apenas nota de pé de página.
Cadegiani, desde o início da pandemia, fez diversos estudos com diversas drogas no combate à doença. Pesquisou hidroxicloroquina, nitazonixanida, ivermectina e proxalutamida. Tudo, segundo a mídia brasileira, “sem eficácia comprovada“, apesar dos estudos concluírem positivamente.
O site do Instituto Questão de Ciência, que visa promover o debate científico nacional, afirmou que o estudo com a proxalutamida, que concluiu em uma redução de mortes de 78% em pacientes hospitalizados, na verdade, não é confiável. “Os resultados, infelizmente, não passam de uma expressão de erros sistemáticos e da falta de experiência dos pesquisadores envolvidos”, explica a matéria. Eles citam, inclusive, uma crítica ao estudo feita na revista Science, que resumiu o resultado da proxalutamida como “bom demais para ser verdade”.
Entretanto, entidades que analisaram os dados brutos do estudo com a proxalutamida dão bom reconhecimento. Na Universidade de McMaster, do Canadá, o berço da Medicina Baseada em Evidências, o estudo foi avaliado com uma das notas mais altas entre todos os estudos de medicamentos da COVID. Eles atestaram a alta qualidade do trabalho.
O mesmo ocorreu com a análise do site COVID-NMA, vinculado a Cochrane, da França, que busca analisar evidências científicas de tratamentos. Por lá concluíram existir pouco viés, o que comprova a solidez do trabalho. A análise dessas duas entidades pode ser bem profunda porque Cadegiani disponibilizou, por confiar e acreditar no seu trabalho, todos os conjuntos de dados brutos na íntegra para que a comunidade científica mundial pudesse analisar.
De qualquer forma, esses reconhecimentos da qualidade não se tornaram manchetes na grande mídia, mesmo quando um grupo independente, nos EUA, reproduziu, também com resultados positivos, a eficácia da proxalutamida, seguindo a teoria original proposta por Cadegiani para combater a pandemia. Apenas as pessoas que começaram a seguir Cadegiani nas redes sociais sabem dessas notícias.
Enquanto eu contatava Cadegiani para saber se ele poderia atender mais um paciente, Jota me explicou mais detalhes sobre a situação: “A minha irmã é biomédica e ela fica sempre insegura, influenciada por esse pessoal que é contra o tratamento precoce”.
Durante a troca de mensagens, Cadegiani afirmou que poderia atender o pai de Jota. Sabendo da possível resistência dentro de casa, dei uma sugestão a Jota. “Então faça o seguinte. Em vez de ficar 30 dias no hospital, fica uma semana lá na casa do seu pai para ver se vai tomar mesmo os medicamentos”. “Você tem toda razão. Já vou pegar um avião agora e vou para lá”, respondeu.
E o Dr Cadegiani atendeu o pai de Jota. Logo no primeiro dia, Jota, preocupado, pensa em um reforço, possivelmente foram abordados por alguém que sabe que eles são uma família de posses. “Minha irmã que está inclinada em dar Remdesivir para ele”, afirmou.
O Remdesivir é um medicamento patenteado aprovado pela FDA – Food and Drug Administration, órgão norteamericano, e recomendado pela OMS – Organização Mundial da Saúde. É vendido nos hospitais da elite brasileira por cerca de R$ 18.000, mas mesmo aprovado, celebrado e carimbado, não teve nenhum desempenho razoável. “Faz tudo que o Cadegiani manda e não inventa moda”, sugeri. Jota concordou.
Cadegiani fez o contrário das indicações da FDA e OMS. Tratou com cocktail de medicamentos genéricos, baratos e sem patentes, os mesmos que estudou profundamente e que não são recomendados por esses órgãos reguladores. No dia seguinte, o paciente já quase não tinha sintomas. Três dias depois, tranquilo, Jota já pegava um avião para voltar para sua cidade. Com rápida evolução e já sem sintomas, a saúde de seu pai não lhe causava a menor preocupação.
De qualquer forma, todos sabemos. Um único paciente totalmente curado em três dias não diz absolutamente nada para a ciência. Não serve para comprovar eficácia de nada. Isso é conhecido como caso anedótico.
Mas, por outro lado, esse foi o paciente COVID número 3.711 do Dr Cadegiani. Entre todos eles, o total que atendeu durante toda a pandemia, Cadegiani teve apenas quatro internações, um único intubado e zero óbitos. É isso mesmo. Ninguém morreu. Esses números já dizem, no meu modo de entender, muita coisa.
Entretanto, sobre o caso, uma conclusão já é possível de ser feita. As inúmeras manchetes contra Cadegiani tiveram, essas sim, ineficácia comprovada.
Posteriormente, Jota me informou que Cadegiani não cobrou pelo atendimento. Afirmei a Cadegiani que era uma família rica e que ele poderia, sem problemas, cobrar pelo atendimento. “Eu não cobro COVID-19”, disse.
